Бронхиальная астма у кошек
Кошачья астма мешает полноценной жизни как животных, испытывающих тяжелые приступы удушья, так и их хозяевам, переживающим за своё животное и просыпающимся среди ночи от очередного кашлевого приступа своей пушистой любимицы.
Данное заболевание является аллергической реакцией организма на вдыхаемые вещества, которые раздражают легочные бронхи и приводят к их чрезмерному сокращению. При этом воздухоносные системы сужаются, а также заполняются слизью и эксудатом. Все это приводит к тому, что воздух не может поступать в легкие без сопротивления, что влечет за собой воспаление бронхов.
Раздражающими респираторными факторами выступают самые обычные вещества, которые, у не предрасположенных к заболеванию животных, не вызывают никаких реакций. Это может быть бытовая химия, парфюмерия, табачный дым и т.п.
При этом заболевании была выявлена генетическая связь, поэтому некоторые породы более часто страдают данным недугом. В зоне риска сиамская, тайская, абиссинская породы и их помеси.
Симптомы токсоплазмоза у кошек
Гнойные выделения являются одним из симптомов токсоплазмоза
В первое время после проникновения токсоплазмы в организм кошки симптомы отсутствуют. Спустя несколько дней болезнь начинает себя проявлять легкой формой. Заподозрить токсоплазмоз у кошки можно по таким признакам:
- отсутствует интерес к окружению;
- пропадает аппетит;
- животное становится вялым, тяжело дышит;
- рвота и расстройство кишечника;
- глаза выглядят воспаленными, возможно пожелтение слизистой (из-за нарушения работы печени);
- подергивание кончиков ушей;
- лихорадочное состояние.
По мере развития заболевания симптоматика становится более выраженной – патология переходит в острую стадию. Характерными признаками являются:
- повышение температуры, лихорадка;
- гнойные выделения из глаз и ноздрей;
- мышечные судороги;
- апатия, вялость, безучастие;
- затрудненное дыхание.
В острый период болезни кошка представляет собой источник заражения для окружающих животных и человека. Большое значение в этот период имеет своевременная тщательная обработка лотка, уход за кошкой. Если животное взрослое, и у него сильная иммунная система, то вскоре оно может выздороветь. В противном случае питомец либо погибает, либо патология приобретает хроническое течение, которое проявляется в отсутствии аппетита, снижении массы тела и частых мышечных судорогах.
Почему развивается астма у кошек?
К сожалению, причины развития астмы у кошек на сегодняшний день изучены плохо, но известно, что пусковыми факторами может служить: плохая окружающая среда, хронические инфекционные процессы (микоплазмоз, бордетеллиоз и другие), внутренние паразиты.
Среди наиболее частых аллергенов, что могут вызывать астму, выделяют:
- Дым от продуктов горения (костры в частных домах, сигаретный дым);
- Пыль;
- Наполнитель для кошачьего туалета;
- Бытовая химия (в том числе и парфюмерия, ароматизаторы для воздуха);
- Пыльца растений.
К сожалению, определить, какой конкретно аллерген провоцирует развитие спазмов крайне тяжело и практически невозможно.
Симптомы
- Сильные приступы кашля, которые могут длиться от пары секунд до нескольких минут;
- Характерная поза при кашле. В этой ситуации кошка сидит, согнувши лапы, при этом шея вытянута и немного наклонена;
- Утрудненное дыхание;
- Хрипы и одышка;
- Часто появляется сильная утомляемость, вялость;
- Иногда происходит снижение или потеря аппетита;
- В тяжелых случаях может развиваться кислородная недостаточность. Это крайне тяжелое состояние, слизистые синеют и, если не оказать своевременную помощь, может закончится смертью питомца.
Чаще всего астматический кашель начинает проявляться у животных достигнувших физической зрелость, а именно в возрасте от 2 до 8 лет. В научных исследованиях отмечается, что самки болеют чаще, чем самцы. Так же отмечается породная предрасположенность: сиамские и гималайские. Но болеть астмой может любая кошка.
Помните, что астма – это не инфекционное заболевание и она не заразна, как для других кошек, так и людей. Кстати, говоря очень часто наблюдается закономерность: в семье, где у человека проявляется астма, у кошки тоже спустя время проявляются те же признаки.
При проявлении регулярных приступов длительного кашля, важно, как можно раньше обратиться к ветеринару для уточнения диагноза и назначения адекватного лечения.
Диагностика астмы у кошек
Диагностика астмы весьма затруднительна, это связано с отсутствием характерных только для этого заболевания клинических признаков. Нельзя с помощью одного теста подтвердить диагноз на все сто процентов. Поэтому диагностика астмы должна быть комплексной и проводится только в ветеринарной клинике грамотным ветеринарным специалистом. Ветеринар должен собрать тщательный, подробный анамнез, осмотреть кошку, провести аускультацию легких.
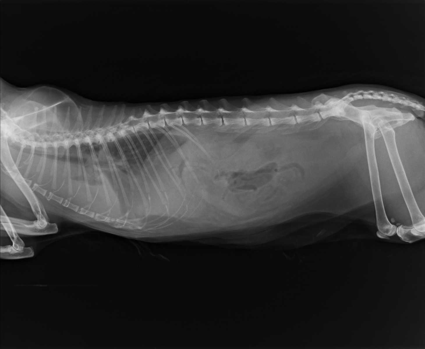
При подозрении на бронхиальную астму необходимо сделать рентгенографический снимок легких. Он нужен не только для подтверждения данного заболевания, но и для исключения других различных патологических изменений, схожих с клинической картиной астмы. Это может быть новообразование или, к примеру, метастазы в легких, кардиологические проблемы, или гидроторакс.
Рис.1. Пред отек легких у кошки при бронхиальной астме.
По общему клиническому анализу крови иногда наблюдается эозинофилия (повышение количества эозинофилов), что может говорить об аллергическом процессе в организме.
Один из способов диагностики астмы – бронхоскопия. Она дает возможность исключить инородные тела дыхательных путей, а также визуально оценить состояние бронхов.
Бронхоальвеолярный лаваж – это способ получения смывов с бронхов и бронхиол. Это наиболее эффективный и достоверный способ поставить диагноз. Проводится он путем введения в легкие и бронхи определенного количества стерильного физиологического раствора, с последующим его удалением. Аспирированную жидкость отправляют на цитологическое и бактериологическое исследования для изучения.
Таким образом, для точной постановки диагноза бронхиальная астма, необходимо исключить такие заболевания как:
- Микоплазмоз;
- Легочные гельминты (дирофиляриоз, Aelurostrongylus abstrusus);
- Новообразования;
- Бордетеллез;
- Вирусный ринотрахеит;
- Пневмония;
- Сердечные патологии и др.
Симптомы начала возникновения язвенной болезни
Чтобы вовремя распознать опасное состояние и обратиться к специалисту, важно знать, как зарождаются трофические язвы. Изначально возникает очаг усиленной пигментации, ткани темнеют из-за накопления гемосидерина – продукта распада гемоглобина
Спустя некоторое время по центру темного участка образуется уплотнение кожи и подлежащих тканей, кожа бледнеет и лоснится (белая кожная атрофия или предъязвенная стадия)
Изначально возникает очаг усиленной пигментации, ткани темнеют из-за накопления гемосидерина – продукта распада гемоглобина. Спустя некоторое время по центру темного участка образуется уплотнение кожи и подлежащих тканей, кожа бледнеет и лоснится (белая кожная атрофия или предъязвенная стадия).
Постепенно кожа атрофируется, клетки гибнут, через стенки сосудов просачивается плазма, которая пропитывает ткани, образуя отек. Появляется жжение и зуд, ткани воспаляются.
При почесывании поврежденной кожи образуются царапины, а затем язва, края которой постепенно расширяются, а дно углубляется.
Размер трофической язвы – от 1-2 рублевой монеты до 10-20 см в диаметре, с неровными краями. На поверхности раны проступает сукровица или кровь. Если в рану попадает микробная инфекция, то появляется гной, грязно-серые или зеленоватые налеты, рана начинает источать неприятный запах. Края раны воспалены, ткани вокруг – припухшие. Любое прикосновение вызывает боль.
При заживлении в центре раны образуются ярко-красные бугорки, нервности – грануляционная ткань. Края язвы стягиваются, размер уменьшается. Болезненность снижается, поверхность раны подсыхает. При правильном лечении язва полностью затягивается, но в последующем, если не восстановлено кровообращение, она может появиться вновь на этом же месте или в другой области.
При отсутствии лечения площадь и глубина язвы увеличиваются, присоединяется перифокальная воспалительная реакция мягких тканей — острый индуративный целлюлит, а также происходит вторичное инфицирование с развитием локальных и распространенных гнойно-воспалительных осложнений i Круглова Л.С. Трофические язвы венозного генеза / Л.С. Круглова // Российский журнал кожных и венерических болезней. — 2014. — № 1. — С. 21-25. .
Кто виноват
Причины развития бронхиальной астмы кошек на текущий момент до конца не изучены. Известно, что провоцирующими факторами могут быть:
- Плохие условия внешней среды (экология, курящие хозяева и пр.)
- Хронические инфекции (микоплазмоз, бордетеллиоз и др.)
- Паразитарные инвазии
Наиболее распространенными аллергенами-провокаторами являются:
- Дым, в том числе и сигаретный
- Пыль и пылевые клещи
- Плесень
- Наполнитель кошачьего туалета (особенно склонный к активному пылению)
- Бытовая химия
- Пыльца
- Парфюмерия
Обострение симптомов также может спровоцировать чрезмерно низкая влажность воздуха (ниже 30%). Именно этим зачастую объясняются зимние обострения в период активного отопительного сезона.
https://youtube.com/watch?v=AQYqHK4_3Ww
https://youtube.com/watch?v=pZACRIzRo6U
https://youtube.com/watch?v=pPwgh_f0l-w
Лечение астмы у кошек — общие принципы
Лечение заболевания должно преследовать 3 цели:
- Устранение воспаления.
- Купирование симптомов.
- Контроль проникновения возможных антигенов.
После купирования основных симптомов астмы у кошек,
лечение должно быть продолжено. Выбор схемы терапии основывается на характере
протекания заболевания и включает в себя применение таких групп препаратов:
- кортикостероиды (как противовоспалительные — флутиказон, преднизолон, метипред, дексаметазон). Лекарственные средства имеют ряд противопоказаний. В частности, если у кошки астма и лейкоз, препараты данной группы могут усугубить течение вирусного заболевания;
- бронходилататоры — предпочтительно ингаляционные формы, если невозможно, то таблетки или инъекции (сальбутамол — для купирования острого приступа, салметерол).

Диагностика астмы: методы и нюансы
Главное правило – не заниматься диагностикой и лечением астмы самостоятельно! Дело в том, что это может исказить результаты предстоящих исследований, сбить с толку ветеринара и ухудшить и без того тяжелое состояние любимого питомца.
На заметку! Лабораторных тестов, с помощью которых удалось бы выявить астму со 100% вероятностью, не существует.
Чтобы поставить точный диагноз, ветеринар осматривает питомца, задает несколько вопросов хозяину (как часто возникают приступы кашля, сколько они длятся, есть ли другие изменения в поведении животного), а также назначает дополнительные обследования:
- общий анализ крови,
- рентгенографию,
- бронхоскопию,
- цитологическое исследование.
Результаты данных исследований позволяют дифференцировать астму у кошки с другими заболеваниями, имеющими аналогичные симптомы (например, с хроническим бронхитом, злокачественными новообразованиями, пневмонией).
Диагностика в ветклинике
Для диагностики заболевания у кошки необходимо подробно описать ветеринару все признаки и характерные особенности приступа. Далее врач назначает исследования:
Дальнейшая диагностика подразумевает:
- осмотр животного;
- применение стетоскопа для прослушивания легких;
- проведение индивидуальных анализов: все зависит от состояния животного.
При диагностике исключают такие заболевания:
- микоплазмоз;
- легочные гельминты;
- новообразования;
- бордетеллез;
- вирусный ринотрахеит;
- пневмония;
- сердечные патологии.

Диагностика астмы у кошек проводится путем рентген-исследования
Методика лечения и прогноз
Лечение зависит от тяжести заболевания и направлено на создание определенных условий для продолжительной ремиссии. К сожалению, астма не лечится, но установить контроль над состоянием животного и предупредить появление опасных симптомов можно.
Терапия заключается в устранении причины, вызвавшей приступ астмы. Так, если «агрессором» является табачный дым, то в квартире, где содержится кошка, запрещается курить. Если аллергическая реакция вызвана пылью, цветочной пыльцой, плесенью, провоцирующие факторы необходимо исключить.
Показано длительное лечение глюкокортикостероидами, снимающими воспаления в легких. Наиболее эффективным средством ветеринары считают Преднизолон.
Для купирования приступов применяются препараты, расширяющие бронхи. При воспалительных процессах бактериального характера показан курс антибиотикотерапии.
Аллергические симптомы снимаются антигистаминными препаратами.
Для постоянного применения потребуется приобрести специальный ингалятор для животных. Ветеринар посоветует, какими средствами нужно пользоваться. Как правило, применяются бронходилятаторы (Kлeнбyтepoл, Фeнoтepoл, Альбутерол и т. д.).
Для проведения ингаляций специалисты рекомендуют спейсеры AeroKat. Это камера с маской, которую прикладывают к мордочке кошки. В камере содержится препарат в виде аэрозоля. Через вдох животное получает необходимую дозу лекарства, с помощью которого получает возможность дышать.
Кроме этого, необходимо использование в качестве антиоксидантов витаминов С и Е.
Виды и классификация трофических язв
В классификации по МКБ-10 трофической язве присвоен отдельный код – L98.4. Однако если описываются язвы, возникающие при варикозной болезни, то они кодируются как I83.0, I83.2. В зависимости от конкретной причины образования трофической язвы могут использоваться другие коды.
Трофическая язва: стадии развития заболевания
Классификация трофической язвы по МКБ-10 зависит от причины её возникновения, стадии развития, степени тяжести и сопутствующих осложнений.
По причине развития трофические язвы классифицируются на:
- Венозные. Они развиваются при варикозной болезни и тромбозе глубоких вен.
- Артериальные. Такие язвы формируются при поражении артерий атеросклеротическими бляшками.
- Диабетические. Они образуются из-за высокого уровня сахара крови, поражения капилляров (микроангиопатии) и нервов (полинейропатии).
- Гипертонические. Синдром Мартореля — локальные артериовенозные шунты;
- Язвы, развивающиеся при системных заболеваниях (болезни крови, обмена веществ, коллагенозы, васкулиты).
- Нейтротрофические. Возникающие при денервации на фоне заболеваний или травм нервных стволов в зонах избыточного давления.
- Рубцово-трофические. Образуются на поверхности послеоперационных или посттравматических рубцов.
- Фагеденические — прогрессирующая эпифасциальная гангрена.
- Застойные. Образуются на фоне недостаточности кровообращения и отечного синдрома при сердечно-сосудистой патологии.
- Пиогенные. Развиваются на фоне гнойных заболеваний кожи конечностей при несоблюдении правил личной гигиены.
- Специфические и инфекционные — сифилитические, туберкулезные (болезнь Базена), лепрозные, язва Бурули, тропическая язва, тропические фагеденические язвы, лейшманиоз, риккетсиоз, онхоцеркоз.
- Малигнизированные — новообразования кожи.
- Язвы при токсическом эпидермальном некролизе Лайелла.
- Язвы при врожденных пороках развития сосудистой системы — ангиодисплазиях.
- Лучевые.
- Язвы, развившиеся вследствие воздействия физических факторов (ожоги, отморожения).
- Артифициальные. Искусственные язвы с целью симуляции и членовредительства.
В подавляющем большинстве случаев трофические язвы имеют венозную этиологию и составляют около 70% в общей структуре язв нижних конечностей i Дубровщик О.И. Трофические язвы венозного генеза: современные возможности лечения / О.И. Дубровщик // Журнал Гродненского государственного медицинского университета. — 2016. — № 2. — С. 107-111. . Распространенность трофических нарушений и трофических язв при хронической венозной недостаточности составляет 15-18% и встречаются у 1-2% трудоспособного населения; с возрастом частота увеличивается до 4-5% среди пациентов старше 65 лет i Круглова Л.С. Трофические язвы венозного генеза / Л.С. Круглова // Российский журнал кожных и венерических болезней. — 2014. — № 1. — С. 21-25. .
По глубине поражения тканей выделяют 3 степени тяжести трофических язв:
- I степень – начальные поражения тканей: образуются эрозии, повреждаются верхние слои кожи.
- II степень – дефект распространяется на кожу и подкожную клетчатку.
- III степень – глубокие, тяжелые дефекты с повреждением кожи и клетчатки, а также фасций и мышц. В крайне тяжелых случаях повреждаются сухожилия и суставные сумки, кость.
Неосложненные трофические язвы согласно классификации (по В. Я. Васюткову, 1993) делят на клинические стадии:
- Стадия I – появляется поверхностная язва. Она расположена на коже, окружающие ткани синюшные и истонченные. Ранка сухая, по центру ткани отечные, ощущается боль.
- Стадия II – усиливается разрушение тканей в области раны, затрагиваются все слои кожи, образуются неровности, бугристость. Кожа приобретает сине-фиолетовый оттенок по краям, по центру — мокнущая, гнойная рана с налетом.
- Стадия III – дно язвы и ее стенки уплотняются, окружающие ткани отечные и болезненные.
- Стадия IV – язва разрастается в стороны, окружающие ткани бледные, края раны кровоточат при прикосновении, образуется постоянно мокнущая поверхность.
- Стадия V – область язвы постепенно очищается, начинается процесс заживления.
- Стадия VI – язва полностью заживает, образуются рубцы.
Лечение отита у кошек
Лечение сводится к устранению этиологического фактора (антипаразитарные средства, удаление полипа/опухоли, иммуносупрессоры при аутоиммунных заболеваниях), а также в устранении вторичной микрофлоры и гигиене наружного слухового прохода. Однако метод лечения, которым можно устранить причину возникновения отита, можно выбрать только после консультации с врачом, который определит эту причину. В домашних условиях до визита к врачу использовать любые капли, даже по рекомендации в ветаптеке, крайне не рекомендуется — если нарушена целостность барабанной перепонки, это приведет к очень тяжелым отклонения. Врач определит причину возникновения отита у кошки и подберет схему лечения, которую можно проводить дома. Для санации наружного слухового прохода можно использовать теплый физиологический раствор либо специальные лосьоны или хлоргексидин биглюконат 0,05%. Лосьоны и хлоргексидин можно использовать только по рекомендации лечащего врача, так как в случае прободения барабанной перепонки их также применять нельзя. Разные лосьоны обладают разными эффектами (антисептический, растворение серы, подсушивающий эффект и пр).
В статье уже неоднократно упоминалось, как нельзя чистить уши кошке — нельзя использовать ватные палочки или просто ватки. Для правильной санации слухового прохода необходимо полностью наполнить ухо раствором, помассировать основание ушной раковины, затем дать кошке потрясти головой. Остатки загрязнений снять с поверхности уха бинтовой салфеткой, но не ватой и не ватными палочками, так как микроворсинки ваты еще больше раздражают кожу воспаленного слухового прохода. Обрабатывать уши нужно несколько раз, пока загрязнения не перестанут выходить. Такую процедуру необходимо повторять 1- 2 раза в неделю, в особо тяжелых случаях 3-4 раза.
Причины возникновения трофических язв
Самые опасные трофические язвы формируются при венозной недостаточности, образовании тромбов в глубоких венах ног. На их долю приходится до 70 % всех случаев.
Достаточно часто бывает диабетическая трофическая язва, особенно при повреждении не только сосудов, но и нервов. Реже язвы возникают при поражении артерий или лимфатических сосудов.
Венозные трофические язвы – это осложнение варикозной болезни, тромбофлебита глубоких вен или посттромботической болезни. Такие язвы образуются из-за серьезных нарушений кровообращения, тромбов и воспаления, отека тканей.
При облитерирующих заболеваниях артериальных сосудов язвы возникают из-за нарушения притока крови в ткани. Это происходит при сужении сосудов, потере эластичности или при наличии крупных атеросклеротических бляшек.
Трофические язвы при сахарном диабете развиваются из-за резкого и длительного повышения глюкозы крови. Высокий сахар крови повреждает мелкие сосуды и нервные волокна, чувствительность стопы нарушается, пациент не замечает мелких ран, которые долго не заживают и переходят в язвы.
Трофические язвы возникают при сужении или полной закупорке лимфатических капилляров. Причинами могут быть системные болезни, повреждающие сосудистую стенку (васкулит, коллагенозы), патологии свертывания, тромбозы или геморрагические диатезы.
Незаживающие трофические язвы возможны при экземе, некоторых формах дерматитов (на фоне нарушения функционирования иммунной системы) и инфицированных ранах, которые неправильно лечили (например, не удалили все пораженные ткани при хирургической обработке).
Образование трофической язвы возможно при обширных ожогах или отморожениях, воздействии электротока или радиации.
Длительно незаживающие язвы – это симптом отдельных хронических инфекционных заболеваний (лепра, риккетсиозы, лейшманиоз, сифилис), онкологических поражений, токсического воздействия лекарств или химикатов.
Причины возникновения пиометры
Пиометры у кошек могут развиваться по ряду причин и в разном возрасте.
Пиометра у молодой кошки ( моложе четырех лет) может быть как ятрогенной, то есть результатом применения препаратов для подавления течки, так и в результате спонтанной овуляции. Последнее особенно характерно для кошек восточных пород, таких как бенгалы, сиамы, ориентальные кошки и т. д.
Как это происходит?
В норме у кошки овуляция ( разрыв фолликула на яичнике, содержащего яйцеклетку) происходит только после полового акта. Овуляция у кошки, не встречавшейся с котом, называется спонтанной. На месте разорвавшегося фолликула на яичнике образуется так называемое «желтое тело беременности», выделяющее гормон прогестерон. Под воздействием прогестерона происходит пролиферация ( утолщение) стенок матки , выделение секрета из маточных желез, которые также увеличиваются в количестве и размере. При инфицировании содержимого матки развивается гнойное воспаление, то есть пиометра.
Если мы говорим о кошках, получавших синтетические аналоги прогестерона для предотвращения течки, то механизм развития пиометры будет тем же самым, только гормон получен извне. У кошек зрелого возраста избыток прогестерона может быть результатом дисфункции яичников или лютеиновой кисты ( кисты желтого тела).
Во всех этих случаях основой для развития гнойного воспаления матки является гормонально обусловленная кистозная гиперплазия эндометрия.
Кардинально другой механизм развития пиометры свойственен кошкам беременным или недавно родившим. В данном случае первично попадание инфекционного агента, чаще всего бактериального. У беременных кошек попадание бактерий в матку приводит к гибели и лизису плодов.
Особенно опасен эндометрит в ранний послеродовый период. Инфицирование может происходить во время родов или сразу после родов при вылизывании себя кошкой,а также при несоблюдении правил асептики во время акушерской помощи.
Опасность послеродовых эндометритов у кошек состоит в их крайне быстром, почти молниеносном течении, приводящем иногда в течение суток к сепсису («заражению крови»), шоку и гибели кошки. Причиной такой проблемы является прямое попадание бактерий или токсических продуктов их жизнедеятельности в не полностью закрытый кровоток мест прикрепления плаценты. В подобных случаях ранними симптомами заболевания у кошки может быть изменение характера и запаха лохий ( послеродовых выделений), в более запущенном случае резко развивается вялость, отказ от еды, слабость, рвота. УЗИ картина в случае послеродового эндометрита неспецифична вплоть до развития перитонита. В цитологиии из влагалища наблюдаются признаки воспаления, бактерии.
Для лечения послеродового эндометрита у кошек применяют системные антибиотики, часто во внутривенной форме для максимально быстрого попадания в кровь, промывание матки антисептическими растворами, стимуляторы сокращения матки ( простогландины). В отличие от собак, кошки относительно хорошо переносят применение системных простагландинов, однако побочными эффектами их введения могут быть абдоминальные боли, рвота и диарея.
Если состояние кошки при послеродовом эндометрите не улучшается в течение нескольких суток — показано хирургическое вмешательство.
Бактерии и их токсические продукты жизнедеятельности при послеродовом эндометрите легко попадают в молоко, поэтому кормление котят у таких кошек прекращают, переводя помет на искусственное питание. Котята также могут получить патологическую микрофлору при вылизывании их кошкой, занимавшейся перед этим личным туалетом или просто вылизывая инфицированную кожу матери. В связи с этим кошку либо отделяют от котят, либо одевают в памперс и попону для предотвращения контакта котят с инфицированной зоной.
Что вызывает астму?
Этиология заболевания до конца не выяснена. Некоторую роль играет генетическая и наследственная предрасположенность, например, наиболее склонны к астме сиамские и гималайские кошки.
Обычно приступы астмы возникают после контакта с аллергенами, такими как табачный дым, пыль от наполнителя для лотка, дезодорант, лак для волос или другой аэрозоль, бытовая химия и пр.
Аллергены могут быть неинфекционными (пыльца растний, корм, лекарственные средства, аллергены клещей), инфекционными (бактерии, грибы, вирусы, паразиты), механическими и химическими (пыль, пары кислот, щелочей), физическими (интенсивные нагрузки, стресс) и метеорологическими (изменения атмосферного давления, влажности и температуры воздуха). Если аллерген имеет сезонную природу, то астма проявляется в конкретное время года.
Зачастую вычислить аллерген–провокатор астмы невозможно. В некоторых случаях помогает смена климата или места проживания (переезд), предметов обихода и пр.
Совет: по возможности перевести кошку на лоток с решеткой, убрав наполнитель (или, хотя бы, найти менее пылящий, например, древесный, кукурузный и пр.); частая влажная уборка; проветривание; увлажнение воздуха в отопительный сезон, осторожное использование бытовой химии, различных аэрозолей и т.д. У заболевания может быть разная степень тяжести: умеренная — кашель и хрипы возникают лишь изредка, умеренно-тяжелая – ежедневные приступы кашля до удушья, острая тяжелая – дыхательная недостаточность, цианоз вследствие сильной бронхоконстрикции — сужения бронхов
Это состояние опасно для жизни животного
У заболевания может быть разная степень тяжести: умеренная — кашель и хрипы возникают лишь изредка, умеренно-тяжелая – ежедневные приступы кашля до удушья, острая тяжелая – дыхательная недостаточность, цианоз вследствие сильной бронхоконстрикции — сужения бронхов. Это состояние опасно для жизни животного.



















































